Midelerinden çıktı: Diyarbakır da inanılmaz operasyon
Ankara24.com, Haber7 kaynağından alınan bilgilere dayanarak bilgi yayımlıyor.
Midelerinden çıktı: Diyarbakır'da inanılmaz operasyon
17.01.2026 20:07
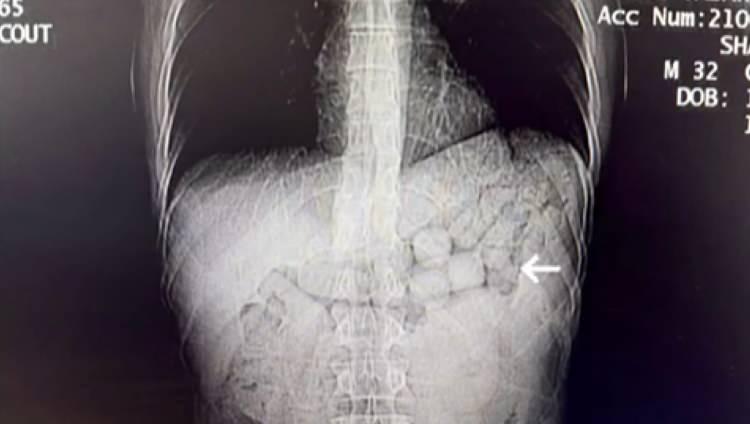
Diyarbakır'da polisin takibe aldığı İran uyruklu iki şüphelinin hastanedeki kontrollerinde, mide ve bağırsaklarında 807 gram uyuşturucu taşıdıkları belirlendi.
Diyarbakır'da otogarda gözaltına alınan ve götürüldükleri hastanede mide ve bağırsaklarında 91 kapsül halinde 807,15 gram metamfetamin çıkan İran uyruklu 2 şüpheli, tutuklandı.
GALERİLER
1
1 - Fiat Doblo Türkiye'ye dönüyor! Yatırım için kolları...
2
2 - Fiyat-Performansta zirveye oynuyor! İşte Redmi Note...
3
3 - Ruhsatına bakmadan gerçek modeli anlaşılmıyor!
4
4 - Emeklilik başvurusu nasıl, nereden yapılır? İşte 4A,...
5
5 - Ünlü radyocudan anlamlı şiir!
6
6 - Gazze'de bir ressamın günü
7
7 - 36'lık fil ikiz annesi oldu
8
8 - Japonya'da üretilen robot, zeka küpü rekorunu...
9
9 - Kaval olmadan kaval sesi çıkaran eski çoban...
10
10 - Metrobüs üstgeçidinde yoğunluk izdihama...
Bu konudaki diğer haberler:Erzincan da narkotik operasyonu: Midelerinden çıkanlar şoke etti
15 Ekim 2025 14:38
Siirt te midelerinden uyuşturucu çıkan 4 şahıs tutuklandı Siirt Haberleri
23 Aralık 2025 20:37
Diyarbakır da 1 kişi ölmüştü! Yeni görüntüler ortaya çıktı
24 Kasım 2025 19:04
Diyarbakır da baba ve oğlu kavgada öldürülmüştü: Olayın nedeni ortaya çıktı
05 Kasım 2025 14:56
Kazı yaparken mezarlıktan kefenlenmiş oyuncak bebek çıktı Diyarbakır Haberleri
26 Ekim 2025 23:30
Görüntülenme:95
Bu haber kaynaktan arşivlenmiştir 17 Ocak 2026 20:10 kaynağından arşivlendi



Giriş yap
Haberler
Türkiye'de Hava durumu
Türkiye'de Manyetik fırtınalar
Türkiye'de Namaz vakti
Türkiye'de Değerli metaller
Türkiye'de Döviz çevirici
Türkiye'de Kredi hesaplayıcı
Türkiye'de Kripto para
Türkiye'de Burçlar
Türkiye'de Soru - Cevap
İnternet hızını test et
Türkiye Radyosu
Türkiye televizyonu
Hakkımızda








En çok okunanlar



















