Tıp dünyası şaşkın: 11 yaşındaki çocuğun 81 dişi olduğu tespit edildi!
Ankara24.com, Haber7 kaynağından alınan bilgilere dayanarak haber veriyor.
Tıp dünyası şaşkın: 11 yaşındaki çocuğun 81 dişi olduğu tespit edildi!
GİRİŞ 26.12.2025 11:08 GÜNCELLEME 26.12.2025 11:08
İlk Yorum Yapan Sen Ol
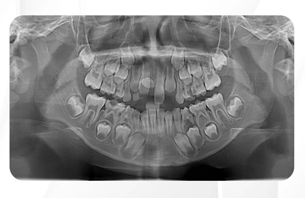
Brezilya'da eşi benzeri görülmemiş bir vaka ile karşılaşıldı. Geçtiğimiz aylarda yapılan bir açıklamaya göre, 11 yaşındaki bir kız çocuğunun ağzında tam 81 diş tespit edildi. Çekilen röntgen filmleri, çocuğun ağzında 18 süt dişi ve 32 kalıcı dişin yanı sıra 31 adet de "süpernümerer" (fazla) diş olduğunu gözler önüne serdi. Yetişkinlerde genel olarak 32 kalıcı diş bulunduğu düşünüldüğünde, otuzdan fazla sayıda süpernümerer dişin bir arada bulunması oldukça nadir bir durum. SADECE BİR TANE DİŞİNİ ÇEKTİRMEK İÇİN HASTANEYE BAŞVURMUŞTU
VN Express'in aktardığı bilgilere göre, Brezilya'da yaşayan 11 yaşındaki kız çocuğu, üst çenesindeki bir süt dişini çektirmek amacıyla hastaneye başvurdu.
Başvuruda belirgin bir rahatsızlık belirtisi bulunmadığı ifade edildi. Ancak çekilen röntgen filmleri, çocuğun "çoklu hiperdonti" adı verilen durumu yaşadığını ortaya koydu.
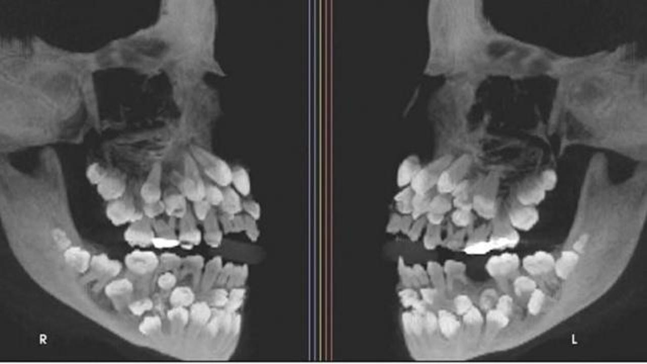
Vaka, Brezilya'nın Minas Gerais eyaletindeki Juiz de Fora Federal Üniversitesi'nden bir araştırma ekibi tarafından diş muayenesi sırasında doğrulandı ve bulgular American Journal of Orthodontics and Dentofacial Orthopedics dergisinde yayımlandı.
ÇOKLU HİPERDONTİ NEDİR?
Söz konusu rahatsızlık, yetişkinler için normal kabul edilen 32 diş sayısının ötesinde, doğuştan gelen ek dişlere sahip olma anomalisini tanımlıyor.
Fazla dişler genellikle bir veya iki adetle sınırlı kalırken, bu vakadaki gibi onlarca fazla dişin ortaya çıkması oldukça istisnai kabul ediliyor.
ÇOK NADİR GÖRÜNEN GENETİK BİR VAKA
Araştırma ekibi, dişlerin kesin konumunu hassas görüntüleme yöntemleriyle belirledi. Ekip, çoklu hiperdontinin genetik rahatsızlıklarla ilişkili olup olmadığını da titizlikle inceledi.
Küçücük kızda, çoklu süpernümerer dişlerle tipik olarak ilişkilendirilen kleidokraniyal disostoz, Gardner sendromu veya yarık damak gibi durumların hiçbiri tespit edilmedi.
Yapılan genetik kromozom testlerinde, kromozom 9'un bazı segmentlerinin ters dönmüş olduğu bir yapısal anormallik (kromozom inversiyonu) ortaya çıktı.
Nadir bir genetik varyasyon olmasına rağmen, araştırmacılar kromozomdaki bu değişimin fazla dişlerin oluşumu üzerinde doğrudan bir etkisi olup olmadığının henüz belirsiz olduğunu belirtti.
DİŞLERİ ÇEKMEK İÇİN BİR EKİP KURULDUFazla dişler, diş etlerine derinden gömülü halde bulunabilir ya da normal dişlere benzer biçimler sergileyebilir; bu da kesin bir ayırımı zorlaştırır.
Ayrıca, dişlerin gelişigüzel çekilmesi durumunda çene kemiğinde hasar riski oluştuğundan, tedavi süreci önemli zorluklar barındırıyor.
Zorluklar karşısında, araştırma ekibi ortodonti, ağız ve çene cerrahisi, periodontoloji ve protetik diş hekimliği gibi farklı uzmanlık alanlarından bir araya gelen bir ekip oluşturarak uzun vadeli bir tedavi planı üzerinde çalışmaya başladı.
Araştırmacılar, genetik rahatsızlığı bulunmayan bir çocukta onlarca fazla dişin ortaya çıkmasının, insan gelişimindeki çeşitliliği açıkça gösterdiğini belirtti. "Düzenli diş kontrolleri aracılığıyla anormalliklerin erken tespiti ve uygun müdahale son derece önemlidir" sözleriyle erken teşhis ve tedavinin hayati rolünün altını çizdiler.
KAYNAK: HABER7
Ekrem Öztürk Haber7.com - Teknoloji Muhabiri
Editör Hakkında İstanbul'da yaşayan Ekrem Öztürk, 2021 yılında Medya ve İletişim bölümünden mezun oldu. Uzun süre kendi alanında metin yazarlığı yapan Öztürk, şu an Haber7.com'da "Muhabir - Editör" olarak görev yapmaktadır. Ayrıca günümüz insan ilişkilerinde saygının ve empatinin çok büyük bir güç olduğuna inanmakta ve bu değerleri meslek hayatında da ön planda tutmaktadır.
YORUMLAR İLK YORUM YAPAN SEN OL
GÖNDER
Bu konudaki diğer haberler:
Görüntülenme:69
Bu haber kaynaktan arşivlenmiştir 26 Aralık 2025 11:08 kaynağından arşivlendi



Giriş yap
Haberler
Türkiye'de Hava durumu
Türkiye'de Manyetik fırtınalar
Türkiye'de Namaz vakti
Türkiye'de Değerli metaller
Türkiye'de Döviz çevirici
Türkiye'de Kredi hesaplayıcı
Türkiye'de Kripto para
Türkiye'de Burçlar
Türkiye'de Soru - Cevap
İnternet hızını test et
Türkiye Radyosu
Türkiye televizyonu
Hakkımızda








En çok okunanlar



















