İBB tutuklusunun kalp pili kaydı: Hayati tehlike var cezaevinde kalamaz
Halktv sayfasından alınan verilere dayanarak, Ankara24.com duyuruda bulunuyor.
İBB davası kapsamında İstanbul 40. Ağır Ceza Mahkemesi'nde yargılanan Davut Bildik, Mayıs 2025'ten bu yana tutuklu bulunuyor. Bildik, yüzde 47 engellilik oranı nedeniyle İBB bünyesine engelli kadrosundan girmiş ve İBB iştiraki İSPER'de büro personeli olarak çalışıyordu.
2021 yılında geçirdiği kalp kapak ameliyatının ardından kalp ritim bozukluğu gelişmesi üzerine göğsüne pil takılan Bildik'in, cezaevinde kaldığı süre içinde sağlık durumunun kötüleştiği ortaya çıktı.
Avukat Burak Bingöl'ün 12 Şubat 2026 tarihinde mahkemeye sunduğu tahliye dilekçesine göre Bildik, cezaevinde bir süre önce ani kalp ritim düşmesi yaşadı. Bu sırada pil devreye girdi ve şiddetli göğüs ağrısı oluştu.
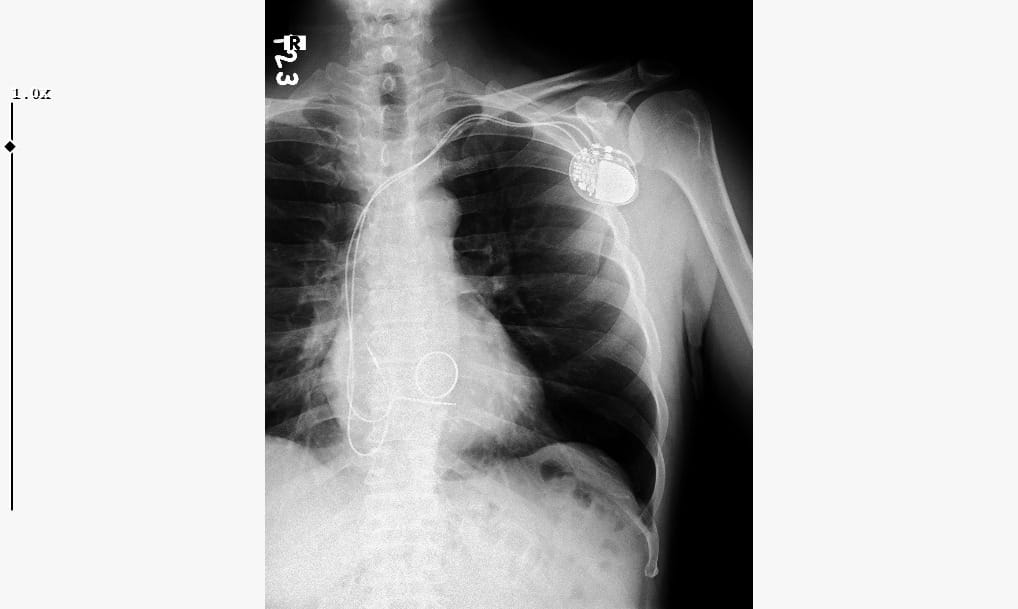
PİLİN KAYDIĞI RÖNTGENDE GÖRÜNTÜLENDİYaşanan yoğun ağrı sırasındaki ani kas hareketleri sonucunda göğse yerleştirilmiş kalp pilinin normal konumundan kayarak sol omuz bölgesine doğru yer değiştirdiği belirlendi.

Bildik'in bu gelişmenin ardından sol kolunu hareket ettirmekte zorlandığı, günlük yaşam aktivitelerini yerine getiremez hale geldiği belirtildi. Durum, röntgen görüntüleriyle de desteklendi. Görüntülerde kalp piline bağlı ince tellerin anormal biçimde kıvrıldığına ve pilin omuz bölgesine yerleştiğine dikkat çekildi.
"HAYATİ TEHLİKE VAR, CEZAEVİNDE KALAMAZ"Avukat Bingöl, yerinden oynayan bir pilin düzgün çalışmasının önüne geçebileceğini, bunun ani bilinç kaybına ve tehlikeli kalp ritim bozukluklarına zemin hazırlayabileceğini vurguladı. Bingöl, dilekçesinde şu uyarıda bulundu:
"Kalp pili yerinden kaymış, buna bağlı olarak şiddetli ağrı ve sol kolda hareket kısıtlılığı ortaya çıkmıştır. Cezaevi koşullarında bu tür ani gelişen sorunlara derhal müdahale edilmesi fiilen mümkün değildir. Yaşanabilecek en küçük gecikme dahi müvekkilin hayatı açısından ciddi risk oluşturmaktadır."
Haziran 2025'te Adli Tıp Kurumu tarafından düzenlenen raporda Bildik'in cezaevinde kalmasının sakıncasız olduğu sonucuna varılmıştı. Bingöl, söz konusu raporun belirli bir tarihteki "stabil duruma" dayandığını ve sonradan gelişen yeni tıbbi tabloyu kapsamaması nedeniyle güncelliğini yitirdiğini vurguladı.
Kalp pili ve kalp kapak protezi dışında boyun ve bel fıtığı ile yüksek tansiyon gibi birden fazla kronik rahatsızlığı bulunan Bildik, günde 7 farklı ilaç kullanıyor. Bu ilaçların bir bölümü nedeniyle haftalık kan tahlili yaptırması gerekiyor. Bingöl, cezaevi koşullarında bu takibin düzenli ve eksiksiz biçimde sürdürülmesinin mümkün olmadığını da dile getiriyor.
Bildik, İmamoğlu'nun Rumelihisarı'ndaki resmi konutundaki kamera kayıt cihazını sökerek İSBAK personeline teslim etme suçlamasıyla "suç delillerini yok etme" ve "suç işlemek amacıyla örgüte üye olma" iddiasıyla tutuklandı.
Avukat Bingöl, mahkemeden öncelikle adli kontrol tedbirleri uygulanarak tahliye kararı verilmesini talep etti. Bunun mümkün görülmemesi halinde ise Bildik'in tam teşekküllü bir devlet hastanesine acilen sevk edilerek kalp pili ve bağlantı tellerine ilişkin gerekli tüm tıbbi müdahalelerin yapılması ve güncel sağlık durumunun yeniden değerlendirilmesi gerektiğini vurguladı.
Bu konudaki diğer haberler:
Görüntülenme:52
Bu haber kaynaktan arşivlenmiştir 19 Şubat 2026 10:41 kaynağından arşivlendi



Giriş yap
Haberler
Türkiye'de Hava durumu
Türkiye'de Manyetik fırtınalar
Türkiye'de Namaz vakti
Türkiye'de Değerli metaller
Türkiye'de Döviz çevirici
Türkiye'de Kredi hesaplayıcı
Türkiye'de Kripto para
Türkiye'de Burçlar
Türkiye'de Soru - Cevap
İnternet hızını test et
Türkiye Radyosu
Türkiye televizyonu
Hakkımızda








En çok okunanlar



















