Bilim insanları en kötü huylu tümörlerden birine doğrudan saldıran burun damlalarını test ediyor
Ankara24.com, Halktv kaynağından alınan bilgilere dayanarak bilgi paylaşıyor.
Beyin kanseri tedavisinde yeni bir yön, alışılmadık bir giriş yolu olan burun boşluğuyla başlıyor. Yeni bir çalışmanın yazarları, burun damlalarının koku alma sinirleri boyunca ilerleyerek merkezi sinir sistemine ulaştığını ve bugüne kadar geleneksel tedavilerin ulaşamadığı glioblastoma tümörlerine ulaştığını bildiriyor.
Fareler üzerinde yapılan ilk testler, burun damlası preparatının hedef hücrelere ulaştığını ve hayvanları ölümcül bir hastalıktan koruduğunu gösterdi.

Bu yaklaşım, glioblastoma ve potansiyel olarak diğer bağışıklık sistemine dirençli kanserler için daha güvenli ve daha etkili tedaviler için umut vaat ediyor ve klinik uygulamaya doğru önemli bir adım. ABD'deki Washington Üniversitesi'nden beyin cerrahı ve " PNAS " dergisinde yayınlanan araştırmanın yazarlarından Alexander Stegh , üniversitenin web sitesinde yayınlanan bir makalede , " Bu, kanser immünoterapisinin ulaşılması zor tümörlerde nasıl uygulanabileceğini yeniden tanımlıyor" diyor .
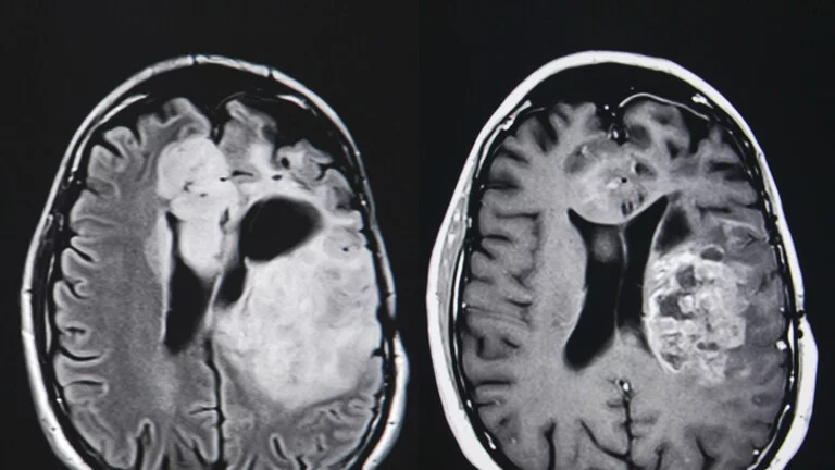
Glioblastoma, hızla büyüyen, bağışıklık tepkisini baskılayan ve beynin derinliklerinde ortaya çıkan kötü huylu bir tümördür. Şişlik, basınç ve kan akışını azaltarak dokulara zarar verir.
STING yolunu (vücudu virüslerin varlığına karşı uyaran doğal bir savunma mekanizması) aktive etmeye yönelik önceki girişimler, invaziv enjeksiyonlar gerektirmişti. Ancak, Washington Üniversitesi'nden sinirbilimci Akanksha Mahajan farklı bir çözüm aradı.
Mahajan , "Zaten ağır hasta olan hastaların yükünü gerçekten azaltmak istedik ve bu ilaçları noninvaziv olarak vermek için küresel nükleer yapılar kullanabileceğimizi düşündüm" diye açıklıyor. Ekibi, STING'i aktive eden maddeyi daha fazla stabilite ve ilacı burun damlaları yoluyla beynin derinliklerine ulaştırmanın daha verimli bir yolu için altın bir nanopartikülün etrafına sardı.
Yeni tedavileri STING sinyalini tetikledi ve tümör ilerlemesini yavaşlattı.
Stegh , "Bu araştırmayla, küresel nükleik yapılar adı verilen hassas bir şekilde tasarlanmış nanoyapıların, beyindeki güçlü bağışıklık yollarını güvenli ve etkili bir şekilde aktive edebileceğini gösterdik" diye vurguluyor.
Bağışıklık sistemini güçlendirici ilaçlarla birlikte uygulanan yaklaşım, farelere uzun süreli koruma sağladı.
Bu konudaki diğer haberler:
Görüntülenme:105
Bu haber kaynaktan arşivlenmiştir 26 Kasım 2025 12:19 kaynağından arşivlendi



Giriş yap
Haberler
Türkiye'de Hava durumu
Türkiye'de Manyetik fırtınalar
Türkiye'de Namaz vakti
Türkiye'de Değerli metaller
Türkiye'de Döviz çevirici
Türkiye'de Kredi hesaplayıcı
Türkiye'de Kripto para
Türkiye'de Burçlar
Türkiye'de Soru - Cevap
İnternet hızını test et
Türkiye Radyosu
Türkiye televizyonu
Hakkımızda








En çok okunanlar



















