Akılalmaz hata! Eline yerleşltirdiği mikroçipin şifresini unuttu
Ankara24.com, Sondakika kaynağından alınan bilgilere dayanarak bilgi paylaşıyor.
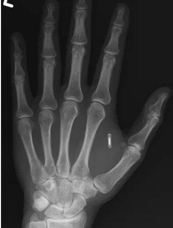
ABD'nin Missouri eyaletinde yaşayan bir sihirbaz ve moleküler biyolog, yıllar önce eğlence amacıyla eline yerleştirdiği mikroçip nedeniyle ilginç bir sorunla karşı karşıya kaldı. Sahne adı "Zi the Mentalist" olan Zi Teng Wang, Facebook'ta yaptığı paylaşımda, çipin şifresini unuttuğunu ve bu nedenle kendi bedenindeki teknolojiye erişemediğini duyurdu. Wang, gönderisine başparmağı ile işaret parmağı arasında duran mikroçipi gösteren röntgen görüntüsünü de ekledi.
"KÜÇÜK BİR SİBERPUNK DİSTOPYASI YAŞIYORUM"Wang, paylaşımında "Tamamen kendi hatamdan kaynaklanan küçük bir siberpunk distopyası yaşıyorum" ifadelerini kullanarak durumunu mizahi bir dille anlattı. Yaşadığı olay, vücuda yerleştirilebilir teknolojilerin nadiren konuşulan risklerini de yeniden gündeme taşıdı. Şirketlerin kapanması, ürünlerin kullanımdan kalkması veya kullanıcıların şifrelerini unutması gibi durumlarda bu teknolojilere erişim tamamen kaybolabiliyor.
SİHİR NUMARASI İÇİN YAPTIRMIŞTIWang, RFID olarak bilinen bu küçük cihazı yıllar önce sahne gösterilerinde kullanmak üzere eline yerleştirdiğini belirtti. Seyircilerin telefonlarını eline yaklaştırmasıyla tetiklenen efekti "gizemli" bir illüzyon olarak tasarlamıştı. Ancak izleyicilerin telefonlarını defalarca eline bastırmak zorunda kalması, beklediği büyülü etkiyi yaratmadı. Üstelik birçok kişinin telefonunda RFID okuyucusu aktif de değildi. Kendi telefonunu kullanmak ise numaranın tüm etkisini kaybediyordu.
Gösterilerde istediği sonucu alamayan Wang, daha sonra çipi bir Bitcoin adresine yönlendirecek şekilde yeniden programladı ve Imgur'da bir meme görseline bağladı. Fakat birkaç yıl önce Imgur bağlantısının çökmesi üzerine çipi tekrar programlamak istedi. İşte bu noktada gerçek sorun ortaya çıktı: Şifreyi tamamen unutmuştu.
RFID TEKNOLOJİSİ NEDİR?RFID, nesneleri radyo dalgaları aracılığıyla otomatik olarak tanımlayan bir sistem olarak biliniyor. Üç temel bileşenden oluşuyor:
RFID etiketi (tag): İçinde bir çip ve anten bulunuyor. İnsan vücuduna enjektör benzeri bir araçla yerleştirilebiliyor. Çoğu etiket pil içermiyor, okuyucudan gelen elektromanyetik alanla çalışıyor. Market ürünlerinden bina giriş kartlarına, depo takibinden evcil hayvan çiplerine kadar birçok alanda kullanılıyor.
RFID okuyucu: Etikete radyo sinyali gönderiyor ve geri gelen veriyi topluyor.
Veri sistemi: Okuyucudan alınan bilgiyi işleyerek anlamlandırıyor.
Zi Teng Wang'ın talihsiz deneyimi, giderek yaygınlaşan implant teknolojilerinin, kullanıcı hatası da dahil pek çok açıdan risk barındırdığını bir kez daha gözler önüne serdi.
Bu konudaki diğer haberler:
Görüntülenme:95
Bu haber kaynaktan arşivlenmiştir 02 Aralık 2025 12:11 kaynağından arşivlendi



Giriş yap
Haberler
Türkiye'de Hava durumu
Türkiye'de Manyetik fırtınalar
Türkiye'de Namaz vakti
Türkiye'de Değerli metaller
Türkiye'de Döviz çevirici
Türkiye'de Kredi hesaplayıcı
Türkiye'de Kripto para
Türkiye'de Burçlar
Türkiye'de Soru - Cevap
İnternet hızını test et
Türkiye Radyosu
Türkiye televizyonu
Hakkımızda








En çok okunanlar



















