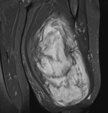
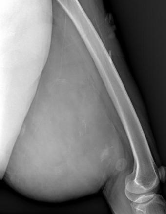
Diyarbakır’da, hastanın bacağından 5 kilo 668 gramlık kitle çıkarıldı
Dha sayfasından alınan bilgilere göre, Ankara24.com açıklama yapıyor.
Mardin’de yaşayan H.T. (42), 3 yıl önce sağ baldırının arka kısmında oluşan ve başlangıçta yumurta büyüklüğünde olan kitlenin zamanla büyümesi üzerine Dicle Üniversitesi Tıp Fakültesi Hastanesi Ortopedi ve Travmatoloji Bölümü’ne başvurdu. Muayenede yumuşak doku kitlesi olduğu değerlendirilen şişliğin alınması için Ortopedi ve Travmatoloji Anabilim Dalı Öğretim Üyesi Prof. Dr. Emin Özkul ve ekibi tarafından ameliyat kararı verildi. Yaklaşık 2 saat süren operasyonla kitlenin çıkarıldığı, kitlenin 5 kilo 668 gram geldiği belirtildi.

‘BACAĞINI KAYBETMESİNE NEDEN OLABİLİR’
Prof. Dr. Emin Özkul, vücutta görülen kitlelere büyümeden müdahale edilmesi gerektiğini ifade ederek, “Hastamız 42 yaşında bir kadın. Komşu şehir Mardin’den geldi. Bölge hastanesi olduğumuz için bu tür hastalar Mardin’den, Şırnak’tan ve diğer illerden çok geliyor. Bu hastalara önerimiz; ‘küçük bir kitle, ağrısız bir kitlem var, ele gelen bir şişliğim var ama bunda ağrı olmadığı için herhangi bir şey olmaz’ dememeli. En yakın sağlık kuruluşuna başvurup en azından kitlenin bir öneminin olup olmadığını teyit edilmesi, bir uzman tarafından bunun doğrulanmasını istiyoruz. Bu hasta da 3 yıl önce fark edilmiş küçük bir kitle, zamanla çok büyük boyutlara, yaklaşık 6 kiloya varan boyutlara varmıştı. Neredeyse bütün bacak boyu yayılan bir kitlesi mevcuttu. Bu kadar büyümenin şöyle sıkıntıları oluyor, kişinin bacağında, kolunda fonksiyon kaybına, yeri geliyor ekstremite kaybına, yani bacağını kaybetmesine yol açabilecek sıkıntılara yol açıyor. Küçükken bunlarla baş etmek daha kolay. Kişinin ekstremitesinde, bacağında, kolunda bir sıkıntı yaratmadan bunları telafi etmek, bunları alıp çıkartmak, ameliyatla bunları tedavi etmek daha kolayken bu boyutlara vardığında kişinin bacağında, kolunda fonksiyon kaybı, sakatlık riski çok yüksek oluyor. Bu sebeple küçükken önleminin alınmasında yarar var” dedi.

‘MESLEKİ HAYATIMDA ÇIKARTTIĞIM EN BÜYÜK KİTLELERDEN BİRİYDİ’
Kitlelerin görülmesi halinde sağlık kuruluşlarına başvurulması gerektiğini belirten Prof. Dr. Özkul, “Hastamızda yaklaşık olarak 3 yıl önce şikayetleri başlamış. Sonra zaman içerisinde hızla büyüyen bir kitleye sahipti. Şanslıydı ki herhangi bir sinirine zarar vermemişti. Hayatına fonksiyon bozukluğu olmadan devam edebilecek. Bölgemize yaşayan ve ülkemizde yaşayan herkese şunu söylüyoruz. Küçük de olsa yumuşak doku kitlelerini önemsemeleri ve uzman görüşü almalarını öneriyorum. Bu hastadan 5 kilo 668 gramlık bir kitle çıkarttık. Bu benim mesleki yaşamım boyunca çıkarttığım en büyük kitlelerden bir tanesiydi. Biraz daha büyük boyutlara varmış olsa kişinin bacağını kurtarma şansınız olmuyor. Bu sebeple bunlara dikkat etmek gerekiyor. Hızlı büyüyen bir kitleniz var ise, ağrısız da olsa mutlaka ve mutlaka tedavi için en yakın sağlık kuruluşuna veya bizim üniversitemizin polikliniklerine başvurabilirsiniz” diye konuştu.





Bu konudaki diğer haberler:
Görüntülenme:82
Bu haber kaynaktan arşivlenmiştir 27 Aralık 2025 11:37 kaynağından arşivlendi



Giriş yap
Haberler
Türkiye'de Hava durumu
Türkiye'de Manyetik fırtınalar
Türkiye'de Namaz vakti
Türkiye'de Değerli metaller
Türkiye'de Döviz çevirici
Türkiye'de Kredi hesaplayıcı
Türkiye'de Kripto para
Türkiye'de Burçlar
Türkiye'de Soru - Cevap
İnternet hızını test et
Türkiye Radyosu
Türkiye televizyonu
Hakkımızda








En çok okunanlar



















