15 aylık bebeğin yemek borusuna kaçan pil ve lego parçası, 3 saatlik operasyonla çıkarıldı
Dha sayfasından alınan verilere dayanarak, Ankara24.com duyuru yapıyor.
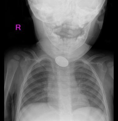
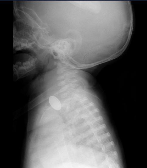
Kayseri'de 15 aylık A.Y.Ç.'nin yemek borusuna, evde oyun oynadığı sırada düğme pil ve lego oyuncak parçası kaçtı. O sırada yanında olan 4 yaşındaki kardeşi, 'Kardeşim lego yuttu' diyerek annesini çağırdı. A.Y.Ç.’nin ağızına bakan anne Tuğba Yılmaz, parçayı göremeyince dışkısından çıkacağını düşündü. Bir süre sonra A.Y.Ç.'nin yutma güçlüğü çektiğini gören Tuğba Yılmaz, Kayseri Şehir Hastanesi'ne başvurdu. A.Y.Ç.'ye yapılan röntgende, yemek borusunda düğme pil ve lego parçası oyuncağa rastlandı. Kız bebek A.Y.Ç., Kayseri Şehir Hastanesi Çocuk Cerrahisi ve Ürolojisi Anabilim Dalı Başkanı Doç. Dr. Mustafa Erman Dörterler ve ekibi tarafından ameliyata alındı. Yaklaşık 3 saatlik süren operasyonun ardından A.Y.Ç.'nin yemek borusuna kaçan düğme pil ile lego oyuncak parçası çıkarıldı.

'DİSK PİL, YEMEK BORUSUNA YAPMIŞ VE DELMEK ÜZEREYDİ'
Kayseri Şehir Hastanesi Çocuk Cerrahisi ve Ürolojisi Anabilim Dalı Başkanı Doç. Dr. Mustafa Erman Dörterler, "Hastamız 15 aylık bir bebek. Hastamız, disk pil ve beraberinde bir lego parçası yutmuş. Ben gece 01.30 gibi hastaneye geldim. Pili ve lego parçasını yutmasının üzerinden yaklaşık 6-7 saat geçmişti. Bu durumlarda dakika ve zaman çok önemli. 2 saatten sonra çok ciddi sıkıntılar oluşturabilecek hatta ölümle sonuçlanabilecek durumlarla karşı karşıya kalmaktayız. Ben, göğüs cerrahisi, çocuk gastroenteroloji, anestezi ekibi ve yardımcı sağlık personelleriyle beraber yaklaşık 20-25 kişiydik. Çocuğa, hızlı ve dikkatli bir şekilde müdahale ettik. Çünkü zaman ilerlediği için disk pil, yemek borusuna yapışmış ve delmek üzereydi. Dikkatli şekilde özenerek çıkarmaya çalıştık. Ekip çalışmasıyla beraber çıkarmayı başarabildik. Çocuğumuzun yoğun bakımdaki 2 günlük takip süreci devam ettikten sonra servisimize aldık. Şu an gayet iyi" diye konuştu.

‘AİLELER, BÜYÜK VE İRİ PARÇALI OYUNCAKLAR SEÇMELİ'
Ailelere uyarılarda bulunan Doç. Dr. Dörterler, "Ailelere şunu söylemek istiyorum. Çocuklar, 9 aydan sonra ellerine aldıkları herhangi bir cismi ağızlarına götürmekteler. Bu yüzden bu tür vakalara genellikle 1-3 yaş aralığında daha sık rastlamaktayız. Aileler, çocuklara oyuncak seçimi yaparken büyük ve iri parçalı oyuncak seçmeleri gerekiyor. Pilleri, çocukların uzanamayacağı yerlere koymaları gerekiyor. Çocuklara 3 yaşından önce kuruyemiş yedirmemeliler. Kuruyemiş, nefes borusuna kaçıp ani ölümlere neden olabiliyor. 'Başımıza gelmez' demeyin. Bu konulara özellikle hassasiyet gösterin. Bu çocuğumuz şanslıydı; ama her çocuk bu kadar şanslı olmayabilir. Aileleri her gördüğüm yerde uyarmaya çalışıyorum. Bu çocuğumuz kurtuldu. İnşallah böyle vakalarla karşılaşmayız. Aileler de bu konuda daha dikkatli olsunlar" dedi.

'HERKES DİKKATLİ OLSUN'
Anne Tuğba Yılmaz ise "Oyuncak olan odaya gidip, bir cisim yutmuş. 4 yaşındaki oğlum, 'Anne kardeşim lego yuttu' dedi. İlk yardım biliyorum. Müdahale ettim ama çıkmadı. 'Herhalde yuttu artık, dışkısından çıkar' diye düşündüm. Daha sonra yutma güçlüğünü gördüğümde hemen geldik. Pil de olduğunu öğrendik. Meğer önce pil daha sonra lego parçası yutmuş. Şoka uğradık. Çok korktuk. Bizim en çok korktuğumuz şey, bir şeyleri yutmasıydı. Normalde dikkat ederdik ama kaşla göz arasında olan bir şey. Bundan sonra daha dikkatli olacağız. Herkes dikkatli olsun. Çok zor bir ameliyat geçirdi. Erman hocam ve ekibi olmasa çocuğum kucağımda olmayabilirdi. Tam teşekküllü bir hastane olduğu için hemen buraya geldik. Başka bir hastane düşünmedik. Konum olarak uzağız aslında ama hemen geldik. Herkesten çok memnunuz" diye konuştu.





Bu konudaki diğer haberler:
Görüntülenme:109
Bu haber kaynaktan arşivlenmiştir 01 Kasım 2025 11:09 kaynağından arşivlendi



Giriş yap
Haberler
Türkiye'de Hava durumu
Türkiye'de Manyetik fırtınalar
Türkiye'de Namaz vakti
Türkiye'de Değerli metaller
Türkiye'de Döviz çevirici
Türkiye'de Kredi hesaplayıcı
Türkiye'de Kripto para
Türkiye'de Burçlar
Türkiye'de Soru - Cevap
İnternet hızını test et
Türkiye Radyosu
Türkiye televizyonu
Hakkımızda








En çok okunanlar



















